La endodoncia en dientes anteriores es un tratamiento dental que se realiza para eliminar la pulpa infectada o dañada...
La endodoncia posterior es un tratamiento odontológico que se realiza en los dientes posteriores...
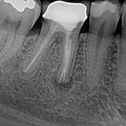
Informarme más aquí.El retratamiento endodóntico es un procedimiento que consiste en volver a tratar un diente que ya...
Informarme más aquí.